수술한지 두달이 넘었다.
현재 상태를 기준으로 정리해 본다.
- 목 상태
. 가만히 있으면 문제 없고 통증도 없음
. 4월 중순 복직 예정이기 때문에 몸도 그에 맞게 준비를 하고 있다. IT직종이라 공부하는 차원에서 컴 앞에 앉아서 몇시간 정도 뭔가에 집중해 보니 목 뒤가 여전히 아프다. 어깨 결림도 예전처럼 생기고 있다. 단순한 c4-c5 부분만의 문제는 아닐것이란 생각도 하고 20년 넘게 일해온 몸에서 예전처럼 반응하는 것일 수도 있겠다는 생각이 든다.
. 목을 좌우로 돌릴때 슥슥 소리가 난지 상당히 오래되었는데(5년이상?) 수술하면 이 소리가 안 날줄 알았다.
가장 심한 c4-c5에서 나는 소리라고 생각했기 때문인데 여전히 소리가 난다.
아마도 인접 분절도 상태가 좋지 않음을 의미한다고 본다. 걱정이 많다.
- 왼쪽 팔 상태
. 하루 중 경련이 군데 군데 아직 있음.
. 왼쪽으로 돌아 누울때 약간의 눌림 현상이 아직 있음.
. 왼쪽 신경공이 거의 막혀있던 터라 현재도 적응기간이고 좋아 지는 중으로 생각한다.
. 수술 전에 비하면 상당히 좋아졌지만 추후에 다시 안좋아 질수 있다는 불안감이 여전히 있다.
- 오른쪽 팔 상태
. 만세 안됨. 좌우로 나란히 상태에서 60도 정도 올라감
. 왼팔 깍지끼고 함께 올리면 되긴 하지만 올린 상태에서 깍지 풀면 다시 60도정도로 내려온다.
. 기를 쓰고 올리려고 하면 목과 어깨 사이가 당기는 느낌.
. 그나마 통증이 있는게 아니라서 다행.
. 전문 재활 훈련? 같은 걸 받으면 좋아 질 것도 같은데 정보가 없다.
사진 비교
1. MRI 세로 사진 : 오른쪽이 수술후

. C4-C5부분이 약간의 역C자 였던 것도 정상 곡만?처럼 변경이 되었다.
. 교수님께서 앞에도 깍아냈다고 하심.
. 한순간에 이렇게 바뀌었는데 수술 후 극심한 통증을 겪는 것은 당연했다고 생각한다. 수술 후 공황장애같은 것도 겪고 극심한 통증도 겪었던 것들이 신경이 다시 셋업되는 과정이었다고 생각한다.
. 한마디 유합술이기 때문에 앞에 판을 대고 나사 박는게 없다. 교수님께서 이부분 설명해주셨는데 심평원에서 급여 처리 기준이 한마디 유합술은 앞에 판을 대지 않는 것(판을 대는건 두마디부터)이라고 한다. 오히려 한마디인데 판을 댄다면 비급여로 처리된다고 함. 입원 당시 수술 후 목에 이물감의 느낌과 음식물 넘길때 약간의 어려움이 있을 수 있으며 간혹 목소리가 잘 안나올 수 있다고 했었는데 나는 경추 앞에 나사를 판과 함께 박는 것 때문에 그런줄 알았다. 수술 며칠 만에 목넘김이 좋아졌는데 '난 별 문제 없네'하고 생각했는데 앞에 판이 없었기 때문이었다.
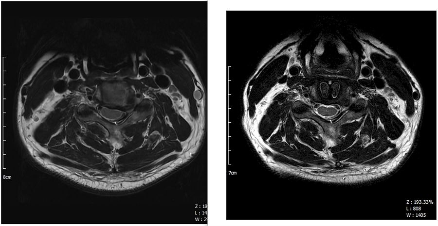
2. MRI 가로 사진 : 오른쪽이 수술후

. C4-C5 사이의 사진.
. 수술 후 디스크 있던 자리에 케이지가 보인다. (Zimmer Biomet Fidji Cervical 14/17/6mm)
. 가운데 척수가 한쪽으로 쏠렸었는데 수술후 약간이지만 가운데로 돌아왔고 공간도 생긴 것이 확인된다.
. 디스크를 모두 걷어내고 왼쪽 신경공을 넓혔지만 워낙 많이 막혀 있었기 때문에 반대편처럼 넓게까지는 안되는것 같다.
. 하지만 아래사진처럼 케이지를 박으면서 높이가 달라져서 그나마 괜찮은 것 같다.
. 오른쪽 신경공은 수술 전후 상관없이 넓다.
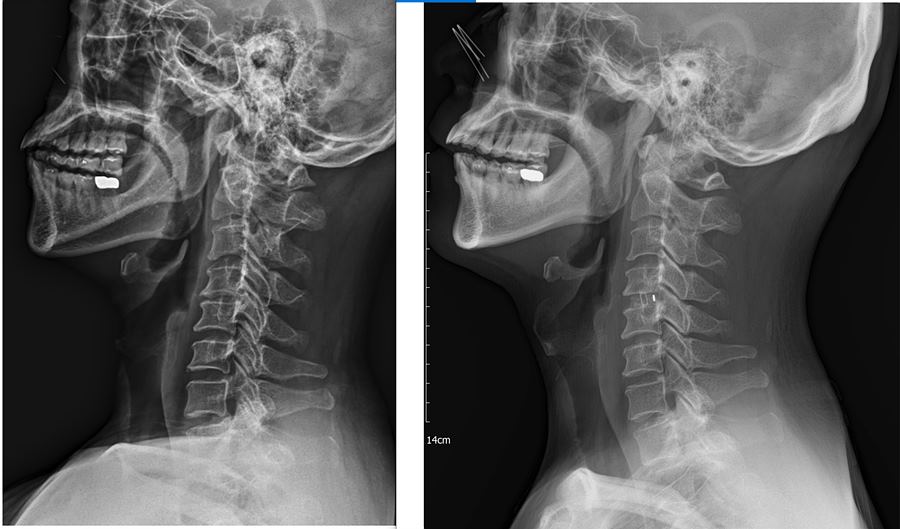
3. X-Ray 세로 사진 : 오른쪽이 수술 후

. 신경공을 더 넓히지는 못했지만 케이지를 넣음으로써 분절간 높이가 수술 전보다 확연히 높아졌다.
. 교수님도 분절 사이가 높아졌으니 그만큼 공간이 더 생겼고 크게 걱정하지 않아도 된다고 하셨다.
수술 후 MRI 사진을 찍게 된 경위는 정상적인 경우 수술 한달후 진료. 그 다음은 1년후 진료라고 한다. 나는 오른팔(아무 문제 없던)에 문제가 생겨서 한달 사이에 두번 진료를 봤고 많이 불안해 하니 한달째 진료때 부분MRI 찍은 것이다. 다음 진료는 2달 뒤.
정말 많은 병원을 다녔고 조금이지만 공부도 하고 그리고 이번에 수술까지 받으면서 느낀 점을 써보자면
제일 중요한게 신경인데 이 신경 자체를 파악하고 고치거나 하는 분야는 의료기술이 아직 많이 부족한 것 같다.
수술을 진행하는 건 신경외과 또는 정형외과가 담당하는데 수술 할때 신경은 전혀 건드리지 않는다.
신경이 나갈 수 있는 길을 넓혀 주는게 이분들이 하는 외과적 수술인 것이다.
카페 환우님들의 수술 경험담에서도 나의 오른팔처럼 전혀 상관이 없던 곳의 신경이 문제가 생기는 경우를 종종 접했다.
그런데 이 경우 해결책이 없는 것 같다. MRI상 문제가 없으니 재수술을 할 수도 없는 노릇.
상황을 긍정적으로 생각하면서 지켜보는게 전부다. 다시 강조하지만 이 문제는 수술의 문제가 아니라 복잡하게 얽히고 있던 신경들이 몸에 변화가 오니 다시 연결되는 과정(저는 그렇게 느꼈습니다)에서 엉뚱하게 연결되거나 연결이 안되거나 하는 문제가 생길 수 있는 것 같고 이에 대한 해결 방법이 마땅치 않은 것 같다.
잘 모르겠지만 신경 자체의 문제가 있는지 세밀하게 판단하는 의료 기술도 부족하다고 생각한다. 근전도 검사와 몇가지 검사를 했지만 왼팔이 문제가 점점 악화되어 감에도 신경은 문제가 없다고 나왔기 때문.
지금 오른팔 상태를 근전도 검사를 해보면 어떨까 하는 생각도 한다. 그런데 그 결과에 따라서 뭔가 할게 없으니 의미가 없다. 답답하다.
* 관련 글
2022.03.06 - [일상다반사] - 경추 한마디 유합술(C4-C5) 수술 일지
2022.03.06 - [일상다반사] - 목디스크 환자의 얼굴저림, 두통
2022.03.12 - [일상다반사] - 경추 수술 목 보호대
2022.04.17 - [일상다반사] - 목디스크 전방 유합술 4개월 경과, 복직
'일상다반사' 카테고리의 다른 글
| 우리 동네 야간에도 운영하는 심야 병원 찾기 (0) | 2022.03.12 |
|---|---|
| 우리 동네 야간에도 운영하는 심야 약국 찾기 (0) | 2022.03.11 |
| 경추 한마디 유합술(C4-C5) 수술 일지 (2) | 2022.03.06 |
| 목디스크 환자의 얼굴저림, 두통 (2) | 2022.03.06 |
| 당구 연습 전문 앱 소개 - 당구박사 (0) | 2022.03.05 |